レントゲン検査・CT検査・MRI検査の違い
2026年01月26日(月)
こんにちは、お茶の水セルクリニックの寺尾です。
整形外科では、体の状態を確認するためにさまざまな画像検査を行います。
代表的なものが「レントゲン検査」「CT検査」「MRI検査」です。
今回は、その違いについてお伝えしていきます。
レントゲン検査・CT検査・MRI検査の違い
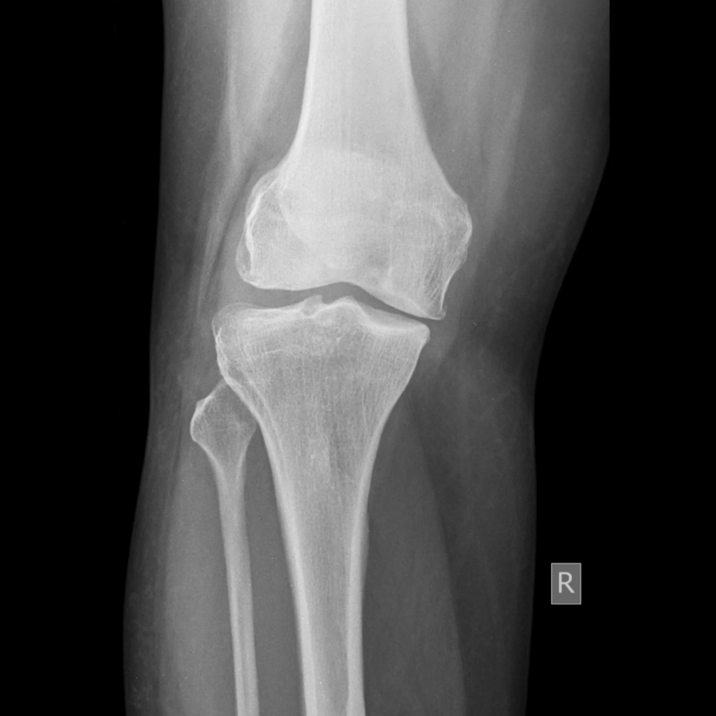
レントゲン検査は、体の様子を写真に撮る検査です。目では見えない骨や関節の状態を、X線という光を使って確認します。
一般の整形外科でもよく使用されます。

CT検査は、体の中を輪切りの画像で詳しく見る検査です。
輪切りで撮ったものを立体の形にする検査です。

今回説明するMRI検査は、こうしたレントゲンを使う検査とは違い、磁気を使って関節の中や体の中を見ていく検査です。
出来上がった検査結果は画像になるので「画像検査」のジャンルに入りますが、レントゲンを使った検査とMRI検査は根本的に少し違います。
レントゲン検査は「骨の輪郭がハッキリ見える」という特徴があります。
一方でMRI検査は「形」だけでなく「内部の質」も評価できる、という点が大きな違いです。
さらにレントゲンやCTが「影をそのまま写し出す」のに対し、MRIは「信号をデジタル画像化」する検査になります。
そのため、実際と少し違うかもしれませんが、デジタル的に分析したものという感じのデータが出てきます。
MRI検査でわかること
MRIは体の中の水素分子の動きを見ています。
体に磁場(磁石の力)をかけてあげると水素が動くのですが、その動きの具合を評価して、そこから中がどうなっているかを調べる“質の検査”をしていくものになります。

MRI検査をすると、たとえばレントゲンでは見えない膝の半月板などの柔らかい組織が見えます。
骨の中での炎症もそのまま見えることがあり、炎症が起きている場所が白く映ってきたりします。
つまり、組織の「質」が評価できるということです。
再生医療の現場でMRIをよく使う理由
再生医療においては、すごく深いところにある靱帯の状態が見えたり、骨の中の炎症が評価できたりします。
だからこそ、細かい状態を把握するためにMRIを使います。

通常、整形外科で「膝が痛いです」という時にレントゲンは撮るけれど、MRIを撮ることがない場合も多いです。
理由としては、MRIを撮っても、これまでだと治療の選択肢があまり提案できなかった、という背景があります。
「MRIを撮ったら新しい治療法ができます」という形ではなかったので、レントゲンしか撮らない、あるいは「手術をしよう」となってもCTまでしか撮らない、という感じだったと思います。
ただ、関節の中の詳細を理解すれば、そこに対して細胞を使っていくという考え方ができるので、再生医療の現場ではMRIをよく使うようになっています。
MRI検査は時間もかかるためお手間ではありますが、患部の状態を正確に知る貴重なデータになります。
当院に来院される際には、MRI検査のデータをご持参いただけると助かります。
当院の近くにMRI検査を専門で撮影してくれるクリニックがございます。
予約も可能ですのでお気軽にお問合せください。
2023.6.28 「幹細胞治療の診察時MRI画像を確認する理由」もご覧ください。
※今回の内容は以下の動画でも見ることが可能です。
何かご不明な点等ございましたら、当院の公式サイトからお気軽にお問い合わせください。
最新のお知らせ
- 2026/05/01
- テニスで人生を豊かに!プロが教える「長く楽しく続けるための身体作り」とコミュニティの魅力(プロテニスプレーヤー小村拓也選手後編)
- 2026/04/24
- プロテニスプレーヤー小村拓也選手が語る、肩の痛みと幹細胞治療。怪我を乗り越え世界で活躍する秘訣とは?(前編)
- 2026/04/22
- Rejoint Clinic Dr K 黒田先生対談の前半「股関節の幹細胞治療が少ない理由」
- 2026/04/17
- Rejoint Clinic Dr K 黒田先生対談の後半「人工関節の前にできること」
- 2026/04/15
- Rejoint Clinic Dr K に寺尾先生が訪問・院内紹介します




